Weight loss procedure shrinks both fat and muscle

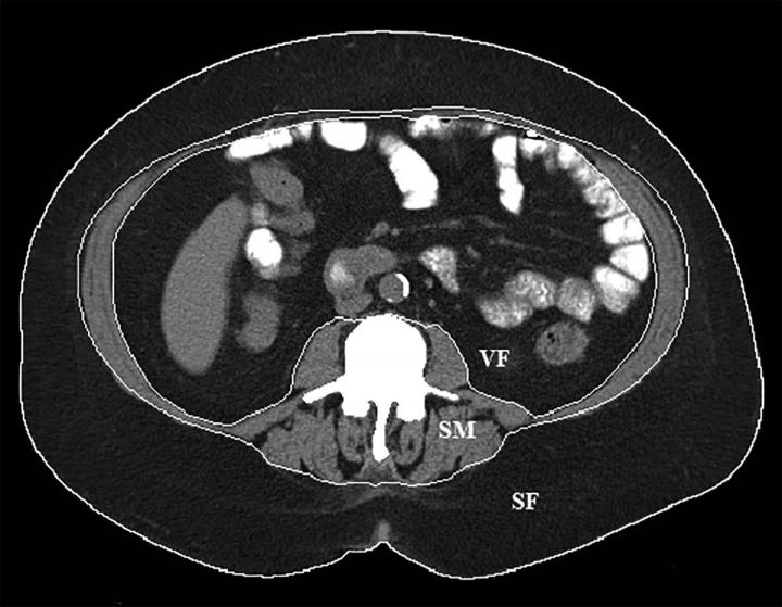
image: Body composition segmentation at the L3 lumbar vertebral body level. Boundaries for subcutaneous fat (SF), visceral fat (VF) and skeletal muscle (SM) are delineated by the white lines.

Image: 
Radiological Society of North America

CHICAGO - Left gastric artery embolization, a novel interventional procedure used to treat obesity, leads to the loss of both fat and muscle, according to a new study presented today at the annual meeting of the Radiological Society of North America (RSNA). Researchers said the loss of muscle mass is concerning and underscores the importance of proper nutritional counseling after the procedure.

Obesity is a major health issue worldwide, linked with serious conditions like heart disease, cancer and diabetes. First-line treatments such as diet and exercise often don't work, leading many patients to opt for gastric bypass surgery. The surgery, which reduces the size of the stomach, has been effective in treating obesity, but carries with it significant costs and potential complications.

Currently under investigation in clinical trials, left gastric artery embolization is a less invasive option to surgery. In the procedure, microscopic beads are injected under imaging guidance into the artery that supplies blood to the stomach. The beads block blood flow to the stomach and reduce the production of ghrelin, a hormone that stimulates hunger. Early studies have shown that embolization is effective in helping people lose weight, but information is lacking on how it might change a patient's composition of muscle and fat.

"There has been lots of research focused on the efficacy of gastric artery embolization for weight loss," said the study's lead author, Edwin A. Takahashi, M.D., vascular and interventional radiology fellow at the Mayo Clinic in Rochester, Minn. "However, there has been no data on what is contributing to the weight loss, whether the patients are losing fat, as desired, or muscle mass, or some combination of the two."

To learn more, Dr. Takahashi and colleagues studied CT scans of 16 overweight or obese patients who had undergone left gastric artery embolization to treat gastrointestinal bleeding. CT scans, when used in conjunction with special software, allow for measurements of body composition based on the different densities of tissues like fat and muscle.

The scans were done before and approximately 1.5 months after the procedure. The results were compared to those of a control group of 16 outpatients who did not undergo left gastric artery embolization but had CT scans at two different time periods for nonspecific abdominal pain.

All 16 individuals experienced significant weight loss after the embolization procedure, losing an average of 6.4 percent of their body weight over 1.5 months. Body mass index, a measure of body weight relative to a person's height, dropped by 6.3 percent.

While the weight loss was not surprising to the researchers, the changes in body composition were. The skeletal muscle index, a measure of the amount of muscle that connects to the skeleton and helps move the limbs, fell by 6.8 percent. Skeletal muscle is important to health, and loss of it can impair physical function and metabolism and put a person at higher risk of injury.

"The significant decrease in the amount of skeletal muscle highlights the fact that patients who undergo this procedure are at risk for losing muscle mass and need to be managed accordingly after procedure," Dr. Takahashi said. "We must make sure they receive adequate nutrition to minimize the amount of muscle tissue they lose."

The patients also lost a significant amount of body fat. Their overall body fat index dropped by an average of 3.7 percent. However, much of the fat loss was subcutaneous, or the fat that lies directly under the skin. Visceral fat, the more dangerous fat surrounding the organs and associated with serious health problems like heart disease and diabetes, did not decrease significantly over the course of follow-up.

The researchers plan to expand their studies in the future to include people who are specifically undergoing embolization as a treatment for obesity.

Credit: 
Radiological Society of North America