Validating a new definition for respiratory failure in children

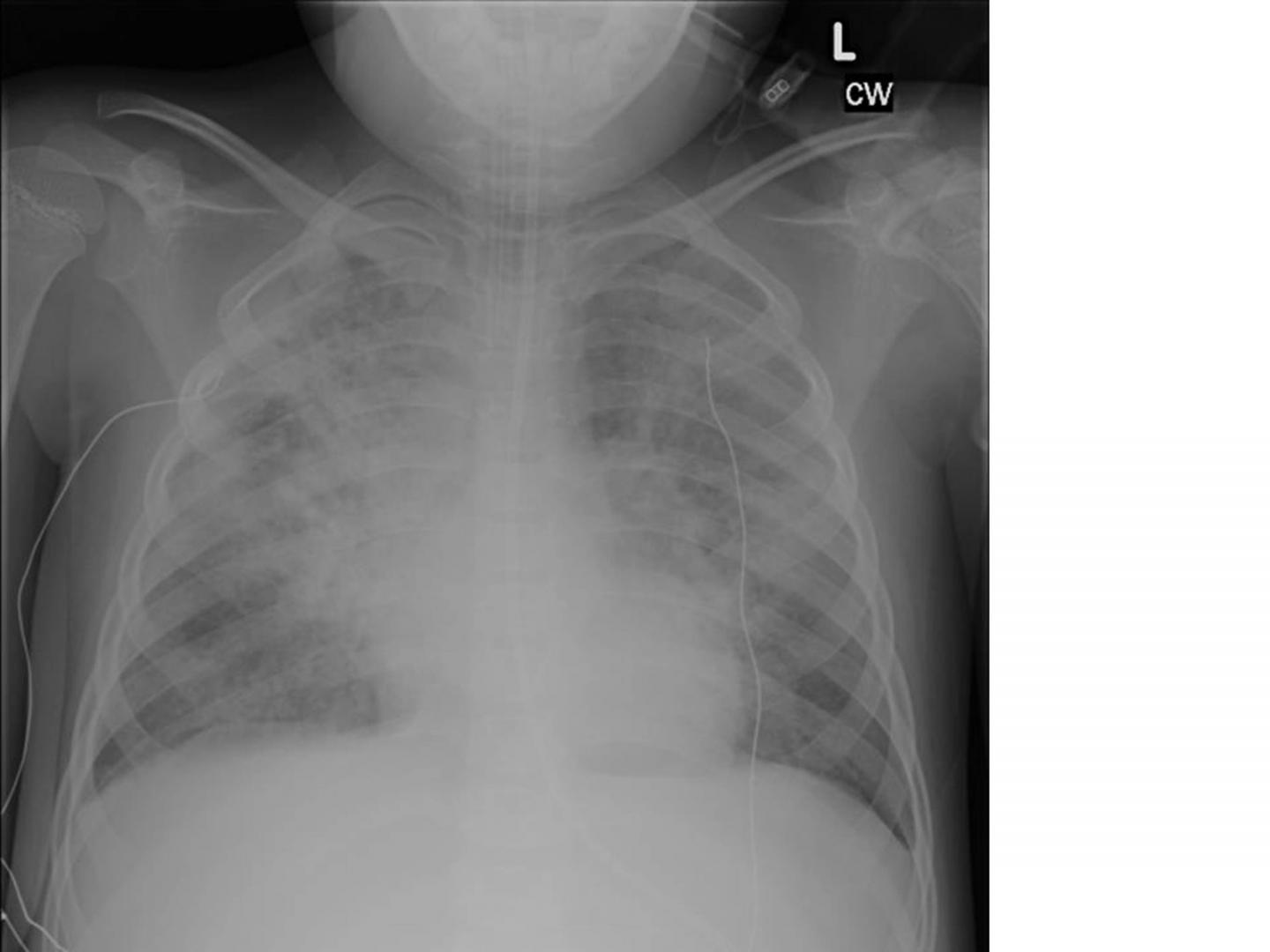
image: This is a chest x-ray of a child with Pediatric Acute Respiratory Distress Syndrome. The cloudy white area in the chest represents areas of lung which have been damaged and cannot function normally. As a result, the child has an endotracheal (breathing) tube which is connected to a mechanical ventilator.

Image: 
Children's Hospital Los Angeles

According to a first-of-its-kind international study, a new definition of Pediatric Acute Respiratory Distress Syndrome (PARDS) results in a more accurate diagnosis of many more children with the rapidly progressive disease than the widely used adult definition.

Findings from the Pediatric ARDS Incidence and Epidemiology Study were published online on Oct. 18 by the leading medical journal, The Lancet Respiratory Medicine.

"PARDS is a major source of illness and death in critically ill patients, yet the disease historically has been underdiagnosed in children," said lead author Robinder G. Khemani, MD, MsCI, associate director of research for the Department of Anesthesiology and Critical Care Medicine at Children's Hospital Los Angeles.

The study represents the largest-ever international cohort of children with PARDS. A total of 700 patients were studied in 145 pediatric intensive care units (PICU) in 27 countries.

Acute respiratory distress syndrome causes fluid to leak into the lungs, making it very difficult to breathe and leading to low oxygen in the blood, called hypoxemia. Pediatric intensivists have long recognized that the condition manifests differently in children than in adults. However, until recently, there was no pediatric-specific diagnostic criteria.

In 2015, the Pediatric Acute Lung Injury Consensus Conference (PALICC) issued a definition to overcome limitations of existing adult definitions, such as the widely accepted Berlin Definition. "Prior to the PALICC standard, pediatricians had been using adult definitions and applying them to children," said Khemani, who headed the PALICC definition subgroup.

Since then, a handful of single-center or regional studies have supported the PALICC definition but its performance in a large international sample was unknown until now. Working from May 2016 to June 2017, the investigators found that of the 708 pediatric patients who met PALICC criteria, only 32% also met the adult definition, meaning that two-thirds of the children would not have been accurately diagnosed.

In one major difference between the two definitions, pediatric guidelines recommend the use of pulse oximetry, a noninvasive method for monitoring a patient's oxygen saturation, while the adult guidelines call for usage of an invasive arterial blood gas test.

In a key finding, the investigators discovered that, contrary to previous thinking, mild and moderate PARDS have similar mortality rates, between 10 and 15%. However, patients with severe PARDS experience a huge jump in mortality -- to 30%.

Another finding concluded that over 3% of all PICU patients and 6% of patients placed on a ventilator develop PARDS. Internationally, PARDS carries a high mortality rate for children--more than 17% overall.

"The study conclusively shows that the PALICC definition can be used as a framework for future research, to inform clinical decisions and to test new treatment strategies," said Khemani, associate professor of clinical pediatrics at the Keck School of Medicine of the University of Southern California

In the future, the investigators plan to release the data for open access, to inspire other studies.

Credit: 
Children's Hospital Los Angeles