Quantum dot technology invisibly records vaccination history on skin

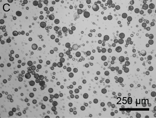
image: The researchers encapsulated their quantum dots in microspheres made of PMMA, a material that improves biocompatibility. This material relates to a paper that appeared in the Dec. 18, 2019, issue of Science Translational Medicine, published by AAAS. The paper, by K.J. McHugh at Koch Institute for Integrative Cancer Research in Cambridge, MA; and colleagues was titled, "Biocompatible near-infrared quantum dots delivered to the skin by microneedle patches record vaccination."

Image: 
[K.J. McHugh <i>et al., Science Translational Medicine</i> (2019)]

A research team has created a microneedle platform using fluorescent quantum dots that can deliver vaccines and invisibly encode vaccination history in the skin. The dots, which can be detected in infrared with smartphones, resisted photobleaching (simulating five years of sunlight) after delivery in isolated human skin, and remained detectable for up to nine months when tested in rats. The platform's ease-of-use could provide clinicians with a more dependable way of keeping accurate medical records, which is challenging in both low- and high-income countries. Medical recordkeeping is essential for proper vaccination coverage and a plethora of other health interventions. However, maintaining or accessing records can be difficult, particularly in low-resource settings that lack centralized databases, which contributes to the 1.5 million vaccine-preventable deaths that occur each year worldwide. Furthermore, problems with recordkeeping have also exacerbated outbreaks of diseases such as measles in the U.S. and Australia. Seeking a solution, Kevin McHugh and colleagues created a platform that records the delivery of vaccines with microparticles that contain biocompatible quantum dots. Their approach uses an array of microneedles that delivers the microparticles into the skin in various patterns, which remain invisible to the naked eye but can be detected in infrared with modified smartphones. In rats, the quantum dots could be delivered alongside a vaccine for polio, and they could also be detected after delivery in isolated pig and human skin. The technology could be highly valuable in the developing world by enabling decentralized data storage and biosensing, the authors say. They add that future safety studies and improvements to manufacturing will help take their idea beyond the proof-of-concept stage and towards real-world implementation.

Credit: 
American Association for the Advancement of Science (AAAS)