Oncotarget: PD-1/PD-L1 expression in anal squamous intraepithelial lesions

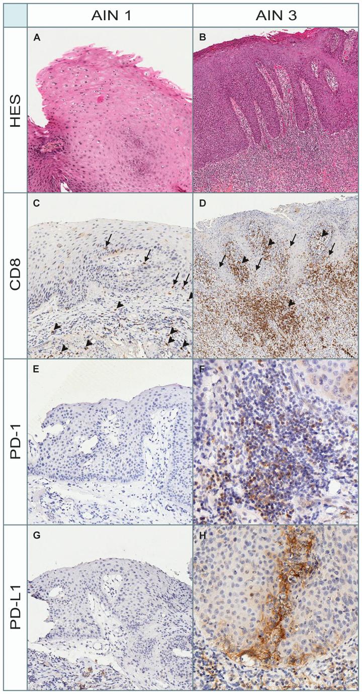
image: Morphological and immunohistochemical (PD-1, PD-L1, and CD8) aspects in a patient with AIN1 and AIN3. HES: Hematoxylin, Eosin and Saffron stain for morphological assessment. (A) AIN1 lesion stained with HES. (B) AIN3 lesion stained with HES. (C) CD8 immunostain scored 1 for both band-like infiltrate (arrowheads) and intra-epithelial lymphocytes (arrows) in AIN1 lesion. (D) CD8 immunostain scored 3 and 1 respectively for band-like infiltrate (arrowheads) and intra-epithelial lymphocytes (arrows) in AIN3 lesion. (E) PD-1 immunostain (score 0: no infiltrate) in AIN1 lesion. (F) PD-1 immunostain (score 3: abondant lymphocytic infiltrate) in AIN3 lesion. (G) PD-L1 immunostain (no positive epithelial cells or lymphocytes) in AIN1 lesion. (H) PD-L1 immunostain (40% of PD-L1+ epithelial cells) in AIN3 lesion. The positive cells are large epithelial squamous cells and no lymphocytes are marked.

Image: 
Correspondence to - Margot Bucau - margot.bucau@aphp.fr

Oncotarget recently published "PD-1/PD-L1 expression in anal squamous intraepithelial lesions" which reported that the presence and distribution of CD8 lymphocytes and the presence of PD-1 lymphocytes and PD-L1 epithelial cells were assessed.

CD8 lymphocytes were observed more frequently in HSIL versus LSIL in the lamina propria or intra epithelial.

PD-1 lymphocytes were observed more frequently in HSIL versus LSIL.

There was no difference between HSIL and LSIL for PD-L1 epithelial cells.

Anal dysplastic lesions are accompanied by an inflammatory lymphocytic infiltrate expressing CD8 and PD-1, more frequent in high-grade lesions.

Dr. Margot Bucau from The Hôpital Bichat-Claude Bernard said, "Anal intraepithelial neoplasia (AIN) is the precursor lesion for anal squamous cell carcinomas (ASCC)."

Dr. Margot Bucau from The Hôpital Bichat-Claude Bernard said, "Anal intraepithelial neoplasia (AIN) is the precursor lesion for anal squamous cell carcinomas (ASCC).

Since 2012, the Lower Anogenital Squamous Terminology recommended denomination for HPV-associated squamous lesions of the lower anogenital tract as low-grade and high-grade squamous intraepithelial lesion.

Oncogenic HPV infection plays a crucial role in developing both cervical and anal lesions, by the integration of the viral DNA into the epithelial cells and activation of oncogenic early proteins E6 and E7. This causes downregulation of suppressing tumor genes, especially TP53 and Rb, and upregulation of p16.

In the cervix, HPV related cancer often have increased infiltration by immune cell populations, including cytotoxic CD8 T cells, that correlates with better response to chemoradiotherapy and increased survival compared to immune-deprived tumors.

Moreover, p16 positive tumors were shown to present higher tumor-infiltrating lymphocytes density and better recurrence-free survival.

The Bucau Research Team concluded in their Oncotarget Research Paper, "our exploratory study highlights the interest of the PD-1/PD-L1 pathway in anal dysplasia and the importance to further explore the different mechanisms of immune micro environment in the progression of anal intra epithelial lesion. It suggests the potential role of therapeutic molecules targeting the immune response to slow down the tumor progression in selected patients with HSIL."

Credit: 
Impact Journals LLC