A new pathway to 'reprogram' killer cells

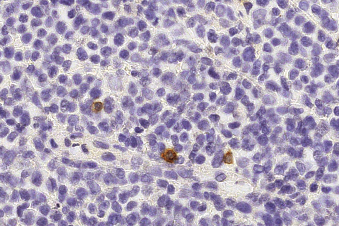
image: NK cells (brown) patrolling between cells of a healthy human lymph node.

Image: 
Institute of Pathology, University of Bern

The so-called natural killer (NK) cells are cells of the innate immune system that recognize and eliminate infected cells or cancer cells. During a virus infection, NK cells also keep the body's own immune cells such as the T cells at bay in order to avoid excessive killing of intact body cells. In addition, NK cells release messenger molecules that support the immune defense. NK cells are therefore particularly important for immunity - if they are defective, recurrent infections with several viruses and cancer can develop.

NK cells eliminate their target cells in two ways. They either kill them by releasing cell toxins or activate these targets to start a "self-destruction program". NK cells have special proteins on their surface - so-called death ligands - which dock to corresponding receptors on the target cells and thus activate their self-destruction. The protein TRAIL is one of these death ligands that NK cells use to kill their target cells. TRAIL stands for "Tumor necrosis factor-related apoptosis-inducing ligand". Compared to healthy cells, tumor cells are more sensitive to TRAIL stimulation. It is therefore believed that the binding of TRAIL to the TRAIL receptor triggers the death of tumor cells without affecting healthy cells.

Accordingly, this pathway is considered a promising approach to trigger the self-destruction of cancer cells. However, TRAIL appears to play a detrimental role in certain types of infections and a better understanding of the underlying mechanism is needed. A group led by Philippe Krebs from the Institute of Pathology at the University of Bern has now discovered new functions of TRAIL in viral infections that could also be important in the fight against cancer. The findings were published in the journal EMBO (European Molecular Biology Organization) Reports.

Killer cells without TRAIL become "tame"

Ludmila Cardoso-Alves at the Institute of Pathology studied the role of TRAIL in the response against a virus that is a natural pathogen in rodents and often serves as a model of viral infection in immunology. Cardoso-Alves investigated the infection in mice whose NK cells did not have TRAIL and found that these mice were able to fight the virus better than the control animals. Mice without TRAIL had more protective T cells and were therefore better able to remove virus-infected cells.

The lack of TRAIL made the NK cells "tamer": they had reduced killer function and instead produced more messenger molecules that activate other immune cells. This is due to the fact that NK cells without TRAIL sense various signals from their environment differently: on the one hand, they are less susceptible to a trigger that leads them to release cell toxins. At the same time, they react more strongly to another signal that causes them to release more messenger molecules. "TRAIL therefore plays a greater role in NK cells than previously thought - if it is missing, the killer cells are reprogrammed, so to speak," says Cardoso-Alves. This is not limited to mice, but also affects human NK cells.

Possible relevance for cancer immunotherapy

The results of this work may be important in the fight against cancer, since the discovered signaling pathway regulates the function of NK cells, which in turn are important for the control of tumor cells. There are several new cancer therapies that aim to reactivate the immune system in order to remove tumor cells, including studies aiming at reactivating NK cells in tumor patients. "Our results show an alternative way of influencing NK cells," said Cardoso-Alves. This could be used, for example, to combined the discovered TRAIL signaling pathway with other methods against tumors.

Credit: 
University of Bern