Low-dose CT for right colonic diverticulitis an alternate diagnosis of appendicitis

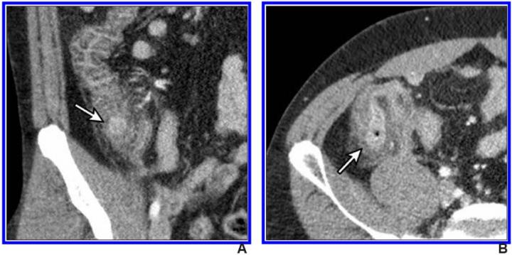
image: IV contrast-enhanced 2-mSv 4-mm-thick transverse and coronal (b) CT images show inflamed diverticula (arrows), segmental colonic wall thickening, and adjacent pericolic fat stranding.

Image: 
American Roentgen Ray Society (ARRS), American Journal of Roentgenology (AJR)

Leesburg, VA, April 8, 2021--According to an open-access article in ARRS' American Journal of Roentgenology (AJR), IV contrast-enhanced 2-millisievert CT (2-mSv CT) is comparable to conventional-dose CT (CDCT) for the diagnosis of right colonic diverticulitis.

"By mitigating concern of missed diagnosis of right colonic diverticulitis, our results further support the use of low-dose CT for suspected appendicitis," wrote first author Hae Young Kim from the department of radiology at Korea's Seoul National University Bundang Hospital. "To our knowledge," Kim et al. maintained, "this is the first study to formally measure the diagnostic performance of CT for right colonic diverticulitis."

Kim and colleagues' large pragmatic randomized controlled trial data included 3,074 patients (1,672 women, 1,402 men) aged 15-44 years old (median, 28 years) from 20 hospitals, randomized into 2-mSv (n = 1,535) or CDCT (median, 7-mSv; n = 1,539) groups from December 2013 to August 2016. A total of 161 radiologists prospectively issued CT reports, suggesting alternative diagnoses in 976 (2-mSV CT) and 924 (CDCT) patients.

In the intention-to-treat analysis, the between-group differences were minute with narrow 95% confidence intervals for most endpoints related to right colonic diverticulitis: test-positives (0.2%; p = .93), test-negatives (0.5%; p = .67), sensitivity (0.0%; p > .99), and specificity (0.2%; p = .66). The characteristics and disposition of test-positive patients were similar between the two groups.

"We believe our results reflect what can be expected in real-word conditions, owing to the pragmatic nature of the trial design, whereby we tried to deliver the intervention with the actual resources used in daily clinical practice," the authors of this AJR article added.

Credit: 
American Roentgen Ray Society