Hypercoagulability in patients with coronavirus disease (COVID-19)

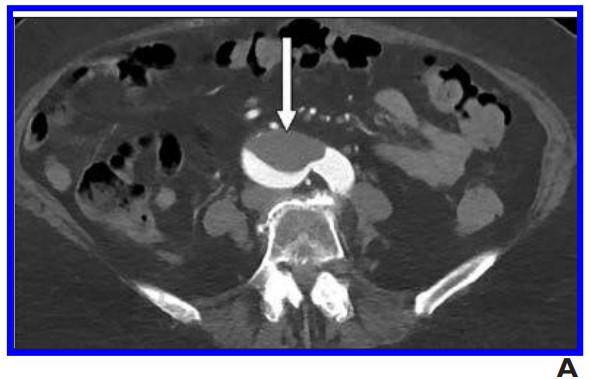
image: A, 76-year-old woman who presented to emergency department with upper back pain. Axial abdominopelvic CT angiogram shows nonocclusive acute aortic thrombus (arrow). Bilateral common iliac artery and left internal iliac artery thrombi (not shown) were also seen, as well as signs of chronic atherosclerotic disease. After findings of concurrently performed chest CT raised concerns, patient was determined to have COVID-19.

Image: 
American Roentgen Ray Society (ARRS), American Journal of Roentgenology (AJR)

Leesburg, VA, September 24, 2020--According to an open-access article in ARRS' American Journal of Roentgenology (AJR), because coronavirus disease (COVID-19) may present with medium to large arterial and venous abdominal and extremity macrothrombi, radiologists should raise concern for COVID-19 when identifying thromboembolic abdominopelvic findings.

Bari Dane of NYU Langone Medical Center in New York City and colleagues at NYU Winthrop in Mineola, New York retrospectively compared 82 patients (58 men, 24 women; mean age 58.8) with COVID-19 who underwent abdominal ultrasound or CT with 82 patients (43 men, 39 women; mean age 53.5) without COVID-19 for thromboembolism and solid-organ infarction.

Nine (11%) patients with COVID-19 had thromboembolic findings (seven men, two women; mean age 67.0). Thromboembolism was described in four of the 38 CT reports (10.5%). Two others described splenic infarctions with patent vasculature (overall positivity rate, 15.8% [6/38]). Three patients had arterial thromboembolism in the aorta or major branches.

Noting one patient without COVID-19 had known portal vein thrombus on CT, "thromboembolic findings occurred more frequently in patients with than without COVID-19 (p = 0.02)," Dane et al. concluded.

Acknowledging this study's small sample size and single-institution nature, Dane pointed out that the cohort describing patients with "COVID" in the radiology report may not include all patients with COVID-19.

"Additionally," the authors of this AJR article continued, "not all patients with thromboembolism undergo confirmative imaging, and some may not experience symptoms. Consequently, the prevalence is likely larger than reported."

Credit: 
American Roentgen Ray Society