Early MRI scans can predict motor development risks for preterm infants

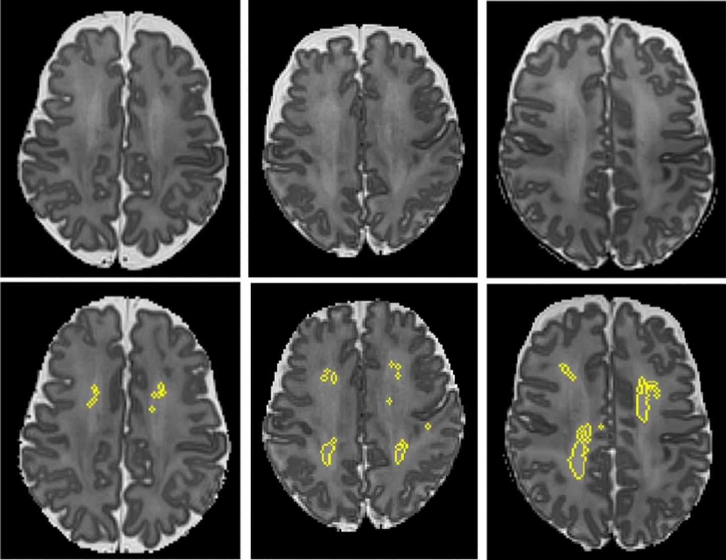
image: These MRI scans show diffuse white matter abnormality (DWMA). The top three panels display raw MRI images from very preterm infants born at 27 weeks (left), 26 weeks (center) and 31 weeks (right) gestation. Higher signal intensity can be seen in the central white matter, particularly for the 31-week gestation infant. The bottom panels display the corresponding slices with objectively segmented DWMA in yellow. The 27-week infant (left) was diagnosed with mild DWMA, the 26-week infant (center) was diagnosed with moderate DWMA, and the 31-week infant had severe DWMA.

Image: 
Cincinnati Children's and Nature Scientific Reports

As many as 70% of very premature infants (born earlier than 32 weeks gestation) show signs of white matter abnormalities at birth. But only some of those infants go on to develop cognitive, language, motor, or behavioral disorders as they grow.

Now, scientists say a new software tool can employ MRI scan data to predict which infants are most at risk of these brain developmental issues. The tool's latest milestone--predicting the risk of motor development disorders (e.g. cerebral palsy) --were detailed online Sept. 28, 2020, in Scientific Reports.

The study was led by Nehal Parikh, DO, MS, a neonatologist and researcher with the Perinatal Institute at Cincinnati Children's who has been working on this line of research for 12 years. He and his collaborators have published several papers exploring the value of measuring diffuse white matter abnormality (DWMA) as a biomarker for brain disorders.

A quantitative look at white matter diffusion

"While most researchers and doctors have concluded that DWMA is not pathologic, our novel studies are concluding otherwise," Parikh says. "Most studies have diagnosed DWMA qualitatively based on visual readings from radiologists (yes/no, mild/moderate/severe). These subjective diagnoses have been unreliable and therefore have not been significantly associated with neurodevelopmental disorders."

However, quantifying the volume of DWMA, does allow for risk stratification, Parikh says. The method also allows for earlier diagnosis. Currently, affected children are not diagnosed with these disorders until 2 to 5 years of age.

The first publications related to the software date back to 2013, with findings reported in Neuroimage, PLOS ONE and Pediatric Neurology that showed an association between DWMA volume and cognitive and language development at 2 years of age.

Earlier this year, they externally validated their findings and reported in the Journal of Pediatrics that DWMA volume significantly predicts cognitive and language development at 2 years of age. Additionally, in Pediatric Neurology, the team reported DWMA volume associations with the two most common neonatal diseases, bronchopulmonary dysplasia and retinopathy of prematurity.

Now, the tool shows that DWMA volume significantly and independently predicts motor development deficits, including cerebral palsy, at 3 years of age.

What's next

Parikh says the team is close to completing a large cohort study called the Cincinnati Infant Neurodevelopment Early Prediction Study (CINEPS) to further validate the findings.

"We plan to work with MRI manufacturers to incorporate our software onto their systems in order to provide objective diagnosis of DWMA at the point of care," Parikh says. "This advance will permit accurate parental counseling and early risk stratification to enable targeted early intervention therapies."

Credit: 
Cincinnati Children's Hospital Medical Center