DNA methylation-based estimator of telomere length

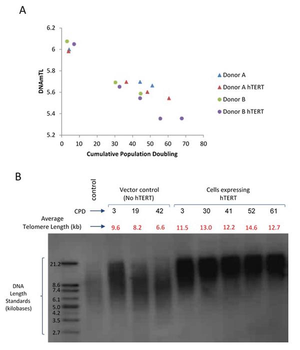
image: Application of DNAmTL on hTERT-transduced primary human fibroblasts.

Image: 
Steve Horvath

Leukocyte DNAm TL is applicable across the entire age spectrum and is more strongly associated with age than measured leukocyte TL.

Leukocyte DNAm TL outperforms LTL in predicting: i)time-to-death, ii)time-to-coronary heart disease, iii)time-to-congestive heart failure and iv)association with smoking history.

Dr. Steve Horvath from the Department of Human Genetics, David Geffen School of Medicine at the University of California Los Angeles in Los Angeles, CA 90095, USA as well as the Centre for Genomic and Experimental Medicine, Institute of Genetics and Molecular Medicine at the University of Edinburgh in Edinburgh, EH4 2XU, UK and the Department of Twin Research and Genetic Epidemiology at Kings College London in London SE1 7EH, UK said "Telomeres are repetitive nucleotide sequences at the end of chromosomes that shorten with replication of somatic cells."

Since the number of cell replication in vivo increases with age, telomere length is negatively correlated with age of proliferating somatic cells.

Although both DNAm age and LTL are associated with chronological age, they exhibit only weak correlations with each other after adjusting for age, suggesting the distinct nature of their underlying mechanisms.

The authors show that DNAm TL correlates negatively with age in different tissues and cell types and outperforms TRF-based LTL in predicting mortality and time-to-heart disease, as well as being associated with smoking history and other age-related conditions.

They also validated the applicability of DNAm TL on a large-scale data set and uncovered asso-ciations between age-adjusted DNAm TL with diet and clinical biomarkers.

Monitoring cultured cells with or without telomerase revealed that DNAm TL records cell replication independently of telomere attrition.

The Horvath research team concluded, "Like epigenetic clocks, we expect that DNAm TL will become a useful biomarker in human interventional studies. A proof-of-concept study is provided by our preliminary analysis of omega-3 polyunsaturated fatty acid supplementation."

Credit: 
Impact Journals LLC