Combating childhood obesity by preventing 'fatty liver' in fetus

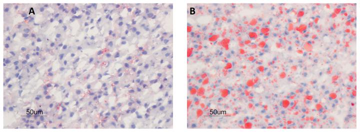
image: Fat content in fetal livers at the end of pregnancy from, A) fetus of a normal weight mother during pregnancy and B) fetus of an obese, overweight mother during pregnancy. The red stain represents fat.

Image: 
Edward Dick

New research published in The Journal of Physiology indicates that an obese pregnant mother and exposure to a high fat, high sugar diet during pregnancy produces a "fatty liver" in the fetus, potentially predisposing children to obesity, metabolic and cardiovascular disorders later in life. The research aims to understand the cellular mechanisms involved in laying down fat in the liver of a fetus - leading to a "fatty liver". This knowledge is essential to developing strategies to combat childhood obesity.

Throughout the world over fifty percent of women of reproductive age are either overweight or obese. Obesity in pregnant women, combined with intake of high-fat, high-sugar diets during pregnancy predisposes their children to obesity and other chronic metabolic and cardiovascular diseases. These complications probably account for a significant proportion of the current epidemic of childhood obesity.

This research aimed to shed light on the mechanisms underlying this link between obese pregnant mothers and obesity in their child, called developmental programming, which is currently poorly understood. This study found that when a fetus develops in an obese pregnant mother, fat accumulates in its liver and many metabolic pathways are disturbed. This is the first study to report that important recently discovered microRNAs (a DNA product which modifies protein synthesis) play a role in this increased deposition of fat in the liver in our closest relatives, the nonhuman primates. The observations of this study may explain why children of obese mothers live shorter lives than the offspring of normal weight mothers.

While there is always some fat in the liver, when the liver fat increases above normal an individual is said to have a "fatty liver". As the amount of liver fat increases, troubles begin. If this is dealt with early, it can be reversed, however if fat deposition persists, the damage can lead to liver scarring and even later life liver cancer. Therefore it is important to understand the early cellular mechanisms involved in laying down the fat early in life while the fetus is developing.

The research was a joint collaboration between University of Wyoming at Laramie Wyoming, the Texas Biomedical Research Institute, San Antonio, Texas, Wake Forest Baptist Medical Centre, Indiana University School of Medicine and the University of Texas Health Science Center. In order to determine which genes were changed in the fetal liver of obese pregnant monkeys and to identify which microRNAs regulate these genes, genomic and epigenomic methods were used. The altered cellular signalling pathways were identified using bioinformatics approaches, and microscopic studies were conducted to quantify the amount of stored fat and sugar present in the liver cells, as well as assessing their shape, which is an indicator of liver cell health.

Although the researchers were able to see significant changes in many cellular functional pathways the study may have been limited in its ability to show significant changes during even early stages of subjects. A major principle of developmental programming is that significant changes may lie dormant, only to emerge under stress or when hormones begin to change with puberty or aging.

The researchers plan to now investigate metabolic and cardiovascular health of monkey offspring of obese mothers, including liver function at regular intervals across the life course to follow the progress of these fetal changes. This will allow them to assess whether unwanted consequences of maternal obesity can pass across generations from mother to daughter to grandchildren. They also plan to identify interventions that can reverse these unwanted changes using the same technologies employed in this study.

Peter Nathanielsz, one of the lead investigators on the projects commented on the significance of the results: "This research is important as throughout the world over fifty percent of women of reproductive age are overweight or obese. Maternal obesity, combined with high fat, high sugar diets, makes it more likely that children will suffer from liver disease and face health problems such as obesity and heart disease later in life.

"It wasn't until we saw the microscope slides for the staining of liver sections showing very high amounts of lipid in fetuses of obese mothers that we realized the dramatic impact of maternal obesity at such an early developmental time point. Histological analyses of these livers showing the condition steatosis, underlined the detrimental impact of maternal obesity on the developing fetus."

Credit: 
The Physiological Society