CNIO researchers clarify the role of the two isoforms of KRAS, the most common oncogene in humans

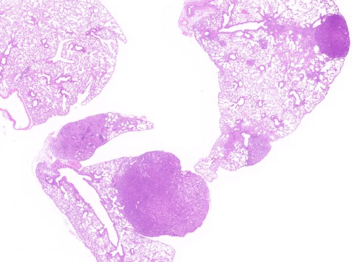
image: Lung carcinoma induced by KRAS4A. / CNIO

Image: 
CNIO

KRAS was one of the first oncogenes to be identified, a few decades ago. It is among the most common drivers of cancer and its mutations can be detected in around 25 per cent of human tumours. The development of KRAS inhibitors is, thus, an extremely active line of research. Effective results have been elusive so far, though - no KRAS inhibitor had been available until a month ago, when the FDA granted approval to Sotorasib.

KRAS encodes two gene products, KRAS4A and KRAS4B, whose levels can vary across organs and embryonic stages. When KRAS mutates, both variants, or isoforms, are activated. Though, some studies have focussed on approaches to target only KRAS4B, since it usually found to be expressed at higher levels in tumours.

In this study, Matthias Drosten, Marina Salmón and Guillem Paniagua of the Experimental Oncology Programme, headed by Mariano Barbacid at the CNIO, had a more fundamental goal: to understand how the isoforms work separately. As they state in the paper to be published in PNAS, "The biological relevance of the expression of two isoforms has puzzled researchers for decades."

Lung cancer and metastasis

A basic research project in principle, Drosten and Salmón's study produced results that came as "a surprise." Even though KRAS4B is the dominant form in cancer, the KRAS4A mutant is also oncogenic, and it is even more active.

In the words of the authors, "KRAS4AG12V alone, in the absence of KRAS4B, can induce lung cancer and metastasis in 20 percent of individuals. Our results suggest that for therapies to be effective, the two KRAS isoforms should be targeted."

KRAS genes in embryonic development

The researchers at the CNIO created two genetically engineered mouse models that lacked KRAS4B and expressed the KRAS4A variant only, both with and without the G12V mutation (KRAS4AG12V).

In addition, the study explored the role of the two isoforms in embryonic development. One of them, KRAS4B, "is key after birth, since in the absence of this variant, mice cannot grow as a result of heart disease".

The CNIO Experimental Oncology Group is a global reference studying KRAS-related cancers, with notable examples such as the elimination of lung tumors and advanced pancreatic tumors by inactivating the RAF1 kinase in animal models.

Credit: 
Centro Nacional de Investigaciones Oncológicas (CNIO)