Aspirin use best for those with high coronary calcium, low risk of bleeding

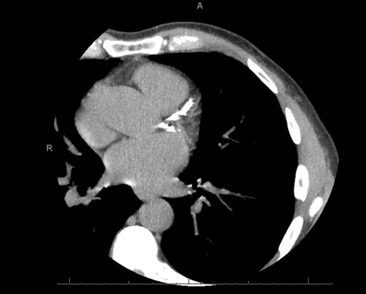
image: Coronary artery calcium scans, such as one shown here, are used to detect the amount of calcium lining the heart's arteries and assess the risk of heart attack or stroke.

Image: 
UT Southwestern Medical Center

DALLAS - Oct. 28, 2020 - An X-ray test commonly used to assess hardening of the arteries could help doctors decide whether the benefits of taking aspirin to prevent a first heart attack or stroke outweigh the risks of bleeding from its use, UT Southwestern research suggests.

The findings, published online today in JAMA Cardiology, could give doctors and patients more concrete guidelines for making this important decision.

Due to its anti-clotting properties, aspirin is widely prescribed as a preventive measure to patients who have already had cardiovascular events, such as a heart attack or ischemic stroke. However, aspirin's role in primary prevention - averting first heart attacks and strokes - has been unclear, explains study leader Amit Khera, M.D., professor of internal medicine and director of the

After decades of commonly prescribing aspirin for primary prevention, recent guidelines from the American Heart Association (AHA) and American College of Cardiology (ACC) recommend more select use for those with the highest risk of cardiac events due to the increased risk of bleeding.

"We used to say for aspirin, generally yes, occasionally no," Khera says. "With these new guidelines, we've flipped that on its head and are saying that we should not use aspirin for most people in primary prevention."

However, he adds, it's been unclear how to select which patients might still benefit most from aspirin therapy, taking into account the risk of bleeding. "We need tools to find that sweet spot where aspirin is most beneficial and offsets the associated risks," he says.

In the study, Khera and his colleagues looked to a diagnostic test - coronary artery calcium (CAC) scanning - to see if it could help doctors make this important decision. CAC scanning, a CT scan that scores the amount of calcium that lines the heart's arteries, is commonly performed to detect hardening of the arteries and risk of a heart attack or stroke.

The researchers gathered data from the Dallas Heart Study, an ongoing study that tracks the development of cardiovascular disease in more than 6,000 adults in Dallas County. Initially, participants were invited to three visits for the collection of health and demographic information, laboratory samples, and various imaging studies, including CAC scanning. These volunteers were then followed for 12 years on average to track those who had heart attacks, died from heart disease, or had a nonfatal or fatal stroke - medical problems collectively called atherosclerotic cardiovascular disease - and/or who had a bleeding event that caused hospitalization or death.

The researchers used data from 2,191 participants with a mean age of 44 years who had CAC scans and follow-up information available. About 57 percent were female and 47 percent were Black.

Overall, about half of the participants had a CAC score of 0, suggesting little to no calcium buildup in their arteries. About 7 percent had a CAC score of more than 100, suggesting heavy calcium buildup. The rest had values in the middle (1-99).

When Khera and his colleagues examined the rates of atherosclerotic cardiovascular disease (ASCVD) and bleeding in the study group, they found that both events increased in a graded fashion as CAC scores rose. However, when they used statistical modeling to see how many of the ASCVD events may have been prevented by aspirin use - based on values gleaned from a recent meta-analysis that informed the AHA and ACC guidelines - they found that aspirin's benefits only outweighed its risks for those with CAC scores above 100. For this group, the risk of ASCVD was about 15-fold and the bleeding risk about threefold of those with a CAC score of 0.

Yet, this effect only held true for those whose inherent risk for bleeding was already low, Khera says, meaning that in practice, as mentioned in the guidelines, if someone has had prior significant bleeding episodes, risk factors for bleeding, or was on medications that increase bleeding, they should not take aspirin for primary prevention regardless of their CAC score.

Together, Khera says, the findings reinforce new guidelines suggesting that aspirin for primary prevention is only appropriate for select patients and that CAC scanning can help doctors and patients make that decision.

"Aspirin use is not a one-size-fits-all therapy," says Khera, who holds the Dallas Heart Ball Chair in Hypertension and Heart Disease. "CAC scanning can be a valuable tool to help us tailor care to help more patients avoid a first heart attack or stroke."

Credit: 
UT Southwestern Medical Center