The 'airbag' that protects cells against stress

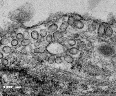
image: Caveaolae rosette, the cell structure with a force-damping function described in the study.

Image: 
CNIC

Scientists at the Centro Nacional de Investigaciones Cardiovasculares (CNIC) have identified the molecular mechanisms that allow our cells to adapt to, protect themselves against, and survive mechanical stress. The results, published today in Nature Communications, show that our cells produce molecules that act as a type of 'airbag' in response to mechanical stress. Without this protective and adaptive system, the heart, an organ subject to continuous mechanical forces, "would be unable to correctly perform its blood-pumping role," explained lead author Miguel Ángel del Pozo. First author Asier Echarri added that the findings "show the importance of identifying the molecular mechanisms that protect cells against mechanical stress."

Many physiological processes, such as embryonic development, wound healing, organ homeostasis, lipid storage, and muscular activity, involve exposure to diverse and potentially damaging mechanical forces. All living organisms, and the cells that compose them, are subject to different physical forces, both mechanical (gravity, impact, blood flow, muscle stretching, etc.) and electromagnetic.

Human cells are able to perceive, adapt to and respond to mechanical forces. According to Del Pozo, "These forces can sometimes be excessive, placing cells under a mechanical stress that can rupture the cell membrane and result in the death of affected cells. To avoid this rupture and thus prevent cell death, nature has evolved molecular sensors that 'switch on' in response to these forces and initiate adaptive and protective processes. The purpose of this response is to adapt cells to these forces before they cause tissue or organ damage."

The Nature Communications study identified relatively large folded or wrinkled structures surrounding cells that can unfold or flatten when the cell is stretched, thus giving cells an extra coating that prevents breakage upon excessive stretching. "It can be likened to an accordion, which unfolds as it is stretched, thus preventing it from breaking when pulled," explained the researchers. These folds thus function as a kind of 'airbag', cushioning cells against excessive mechanical stress.

The team also identified molecules that participate in this mechanism, permitting cells to perceive mechanical force and initiate the biochemical changes needed to adapt to mechanical stress.

The study was undertaken in partnership with CNIC scientist Jorge Alegre-Cebollada and researchers from the Institut Pasteur in Paris, Queensland University in Australia, and Donostia International Physics Center in San Sebastián. The team identified molecules with opposing functions; "one of the molecules (FBP17) protects the cell against mechanical stress, whereas another (ABL) makes the cell more sensitive to these forces", explained Del Pozo and Echarri.

Both molecules, working in an ordered fashion, "coordinate changes in the cell envelope that protect the cell and the cell skeleton, giving it the structure and solidity needed to resist mechanical stress," explained Dr Echarri.

The authors also managed to alter the amount or activity of these molecules in human cells; inhibiting the action of ABL increased protection against mechanical stress, whereas inhibition of FBP17 made cells more sensitive.

The findings are important because knowledge about how cells are protected against mechanical stress "will give us a better understanding of the molecular basis of diseases such as some forms of muscular dystrophy, cardiomyopathies, and lung or vascular diseases characterized by sensitivity to physical activity. The findings will also shed light on the mechanisms of injury to organs with a high level of mechanical activity, such as the heart, lungs, muscles, and blood vessels." The authors concluded that "This work opens the way to future therapies in patients with these conditions."

Credit: 
Centro Nacional de Investigaciones Cardiovasculares Carlos III (F.S.P.)